Smile Gallery

Dr Lisa’s Transformations

Our Smile Transformations

Discover the amazing results we've achieved for our patients through various dental treatments. Each category showcases real before and after transformations.

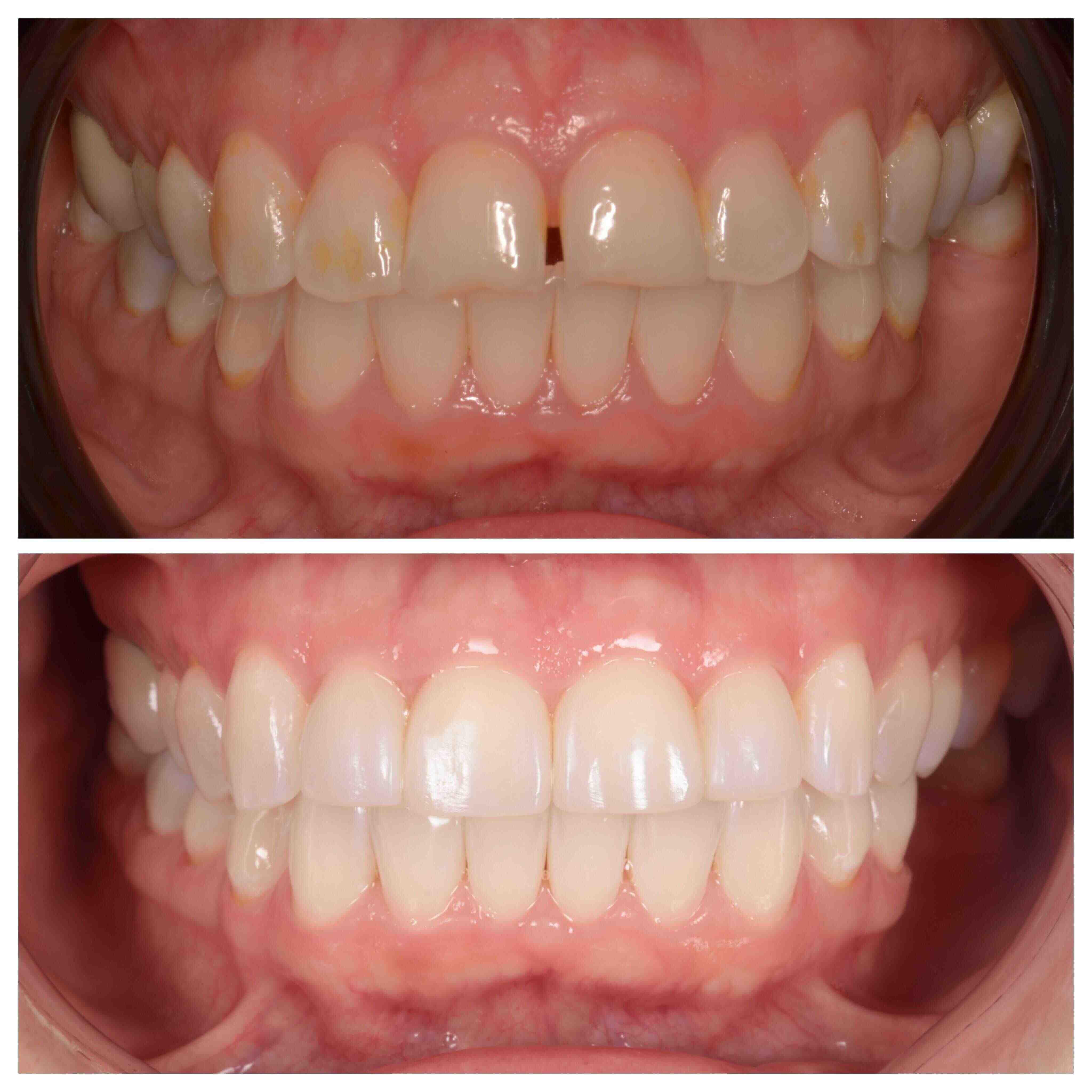
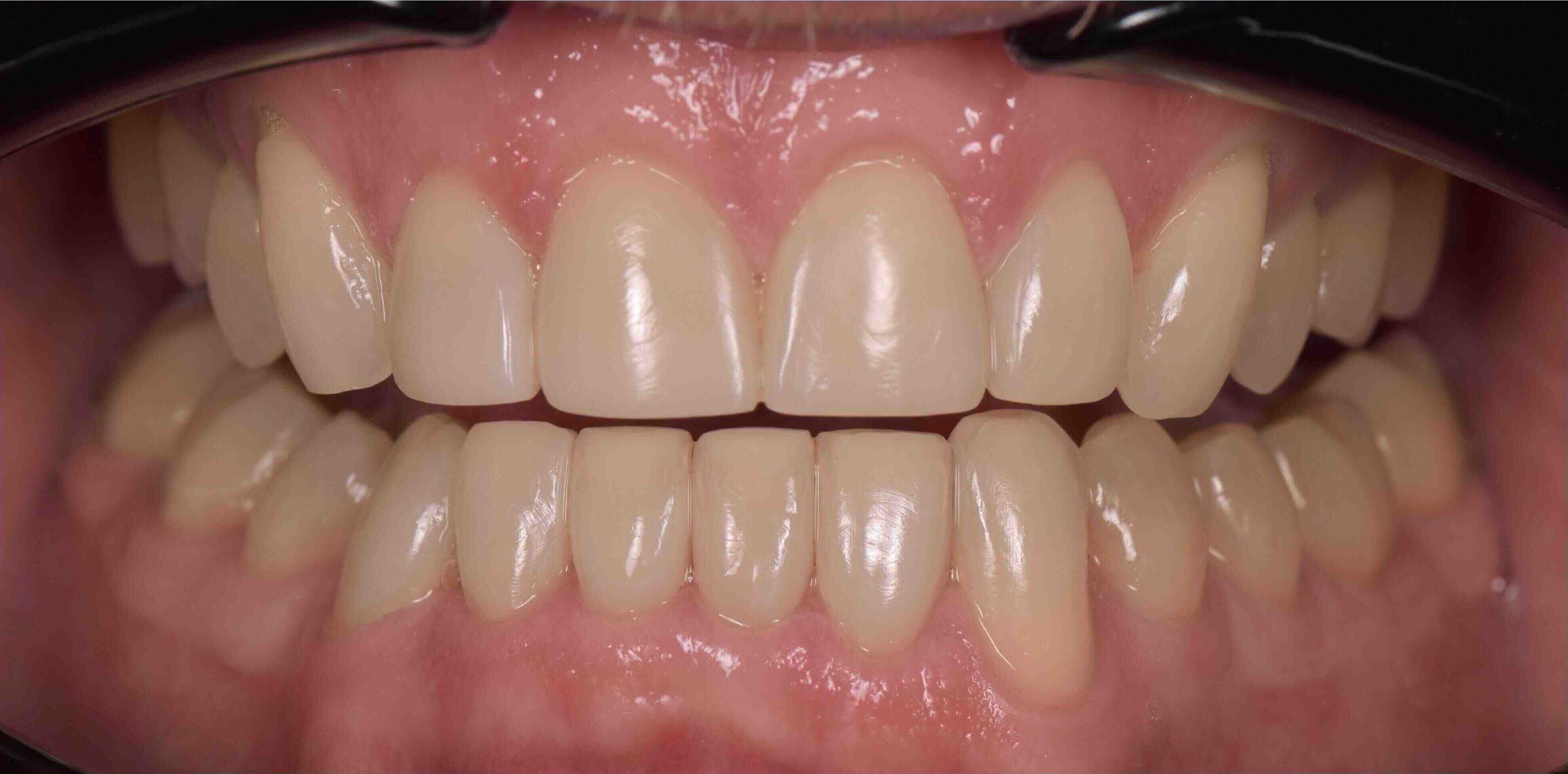
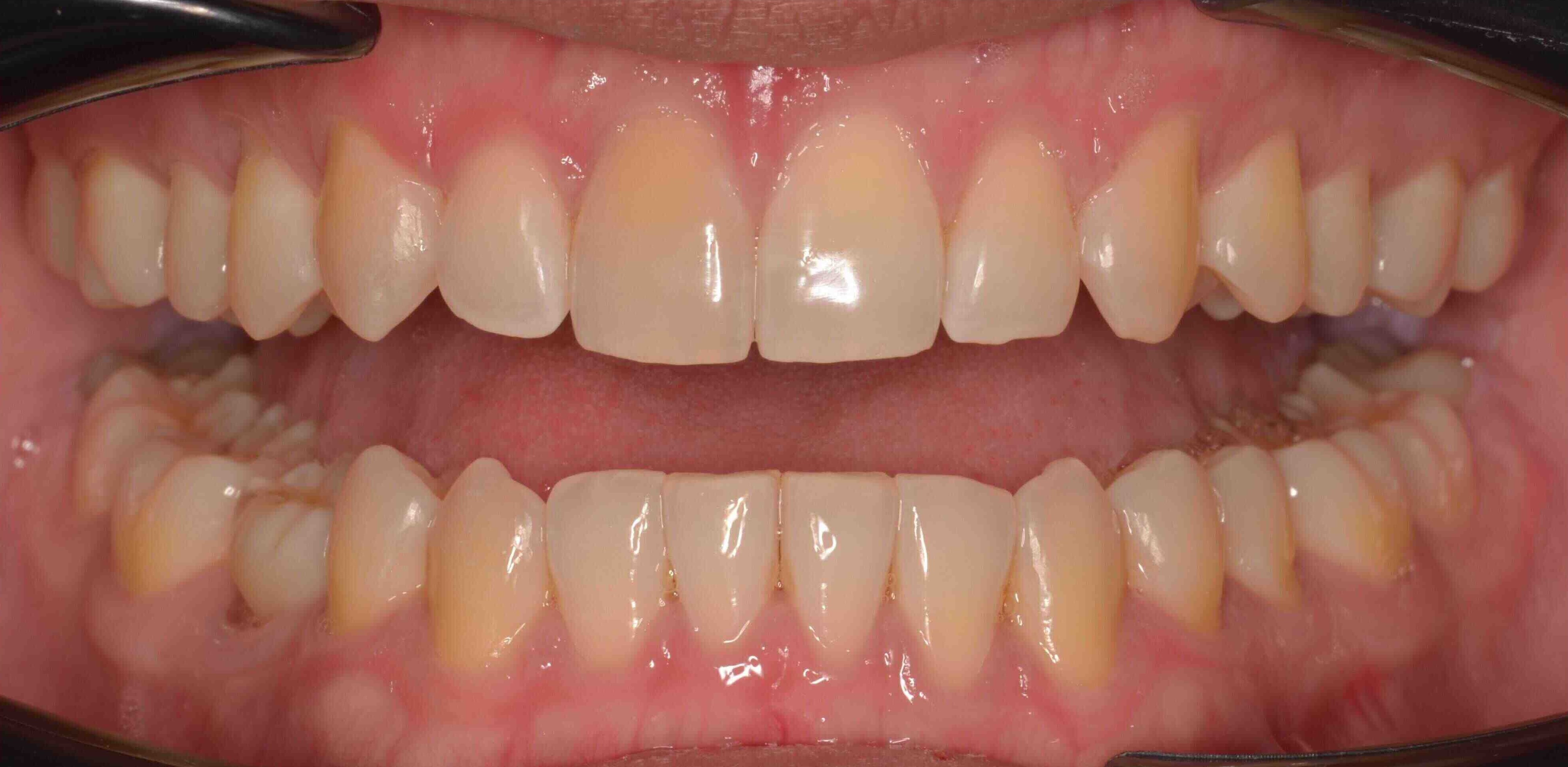
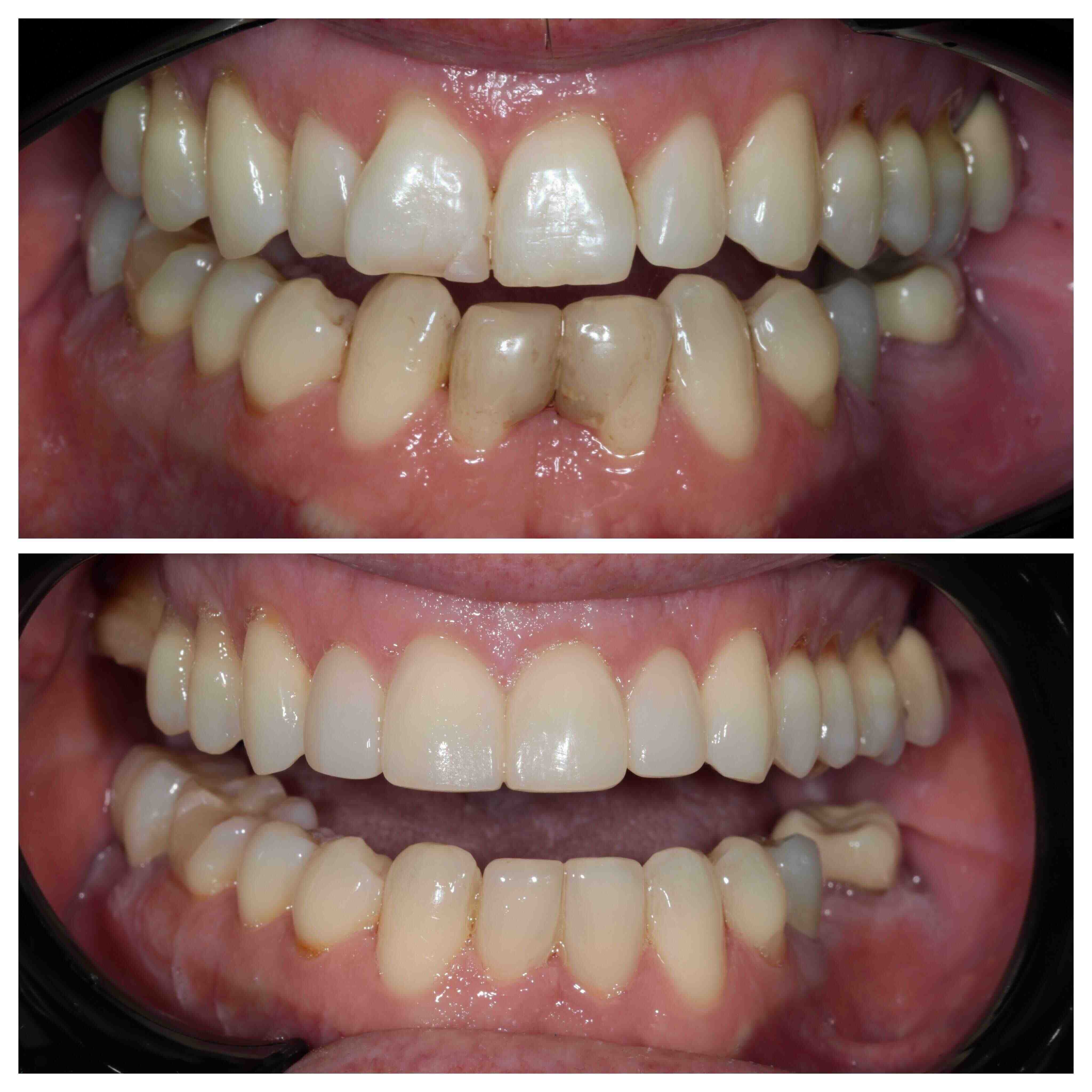
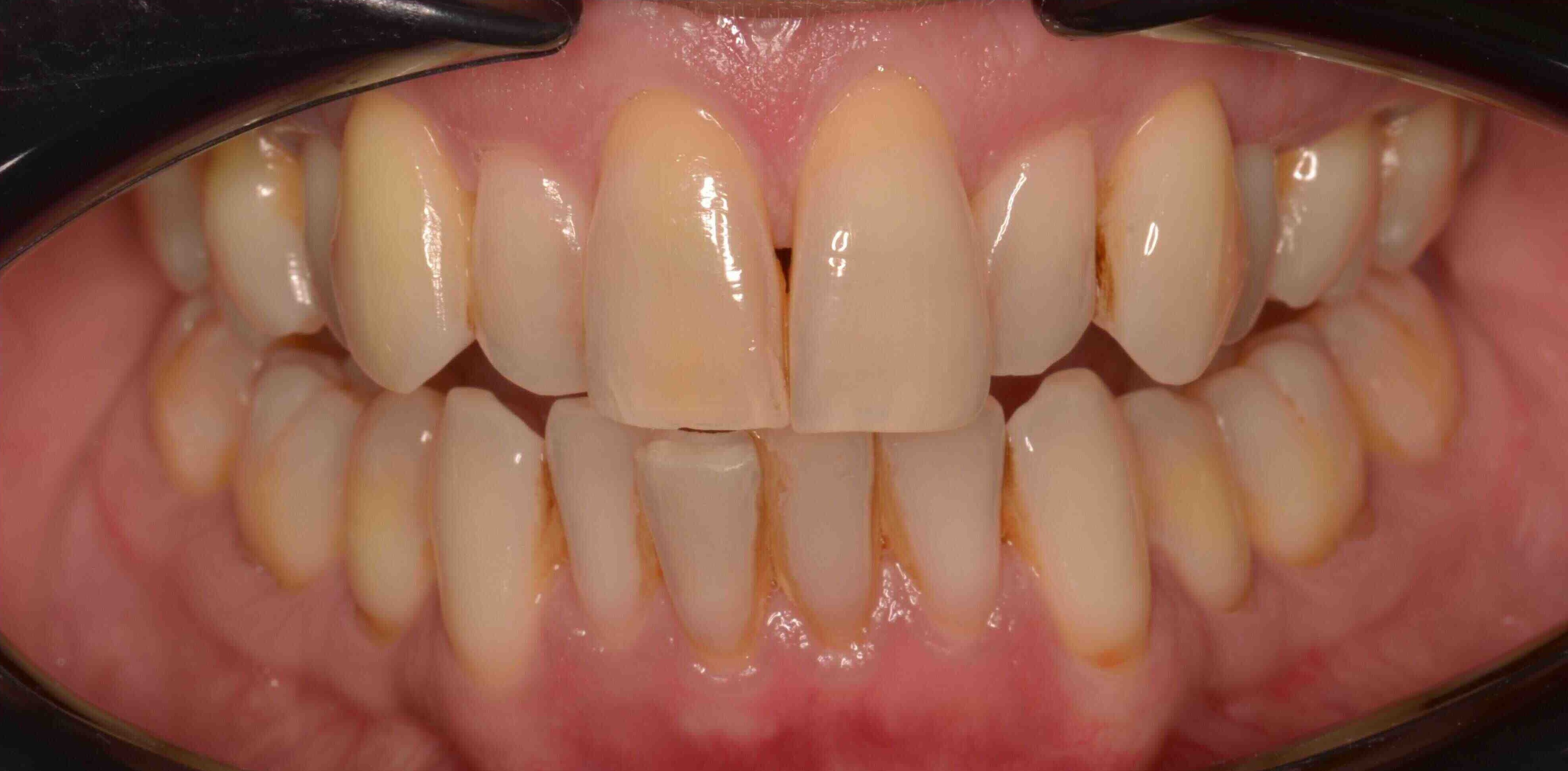
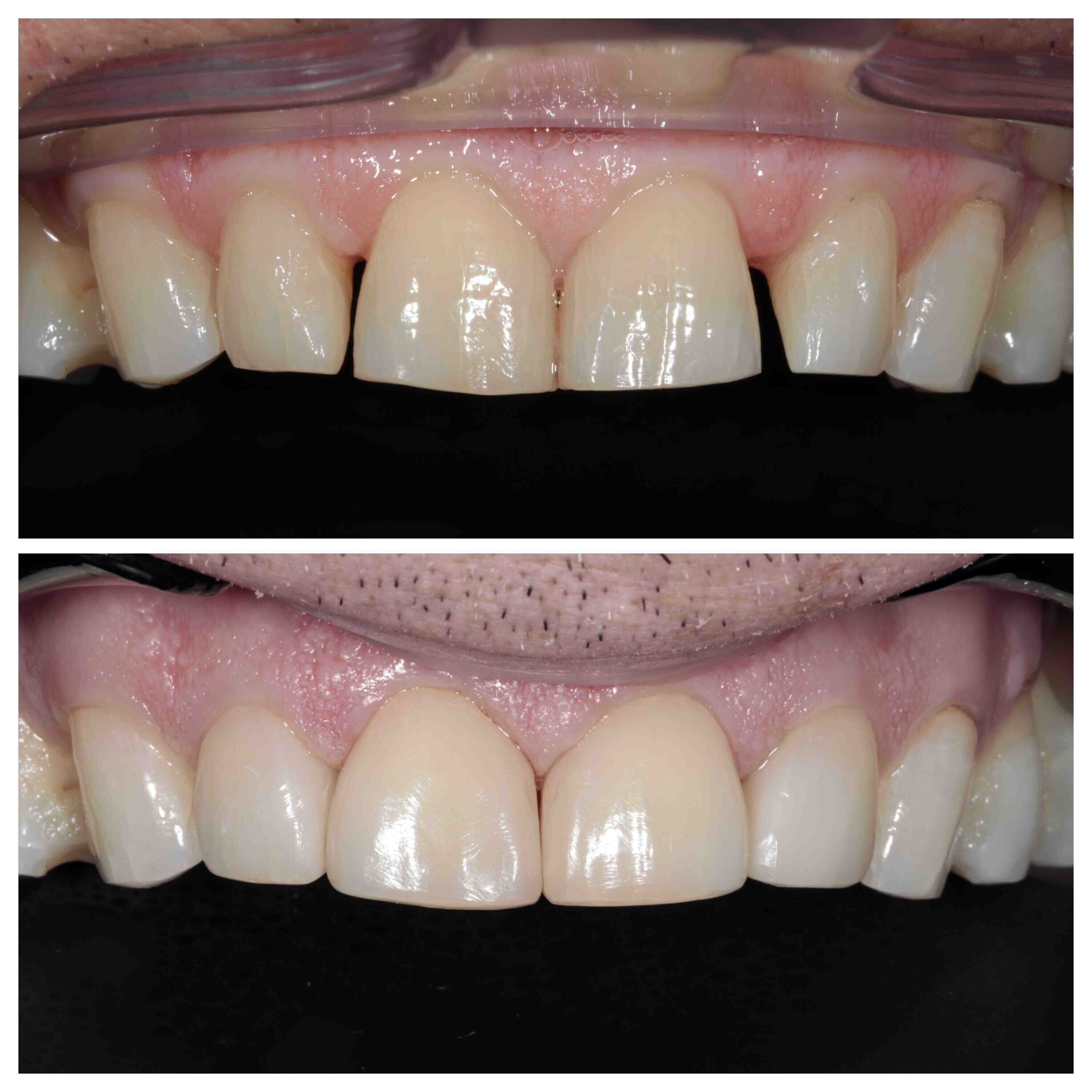
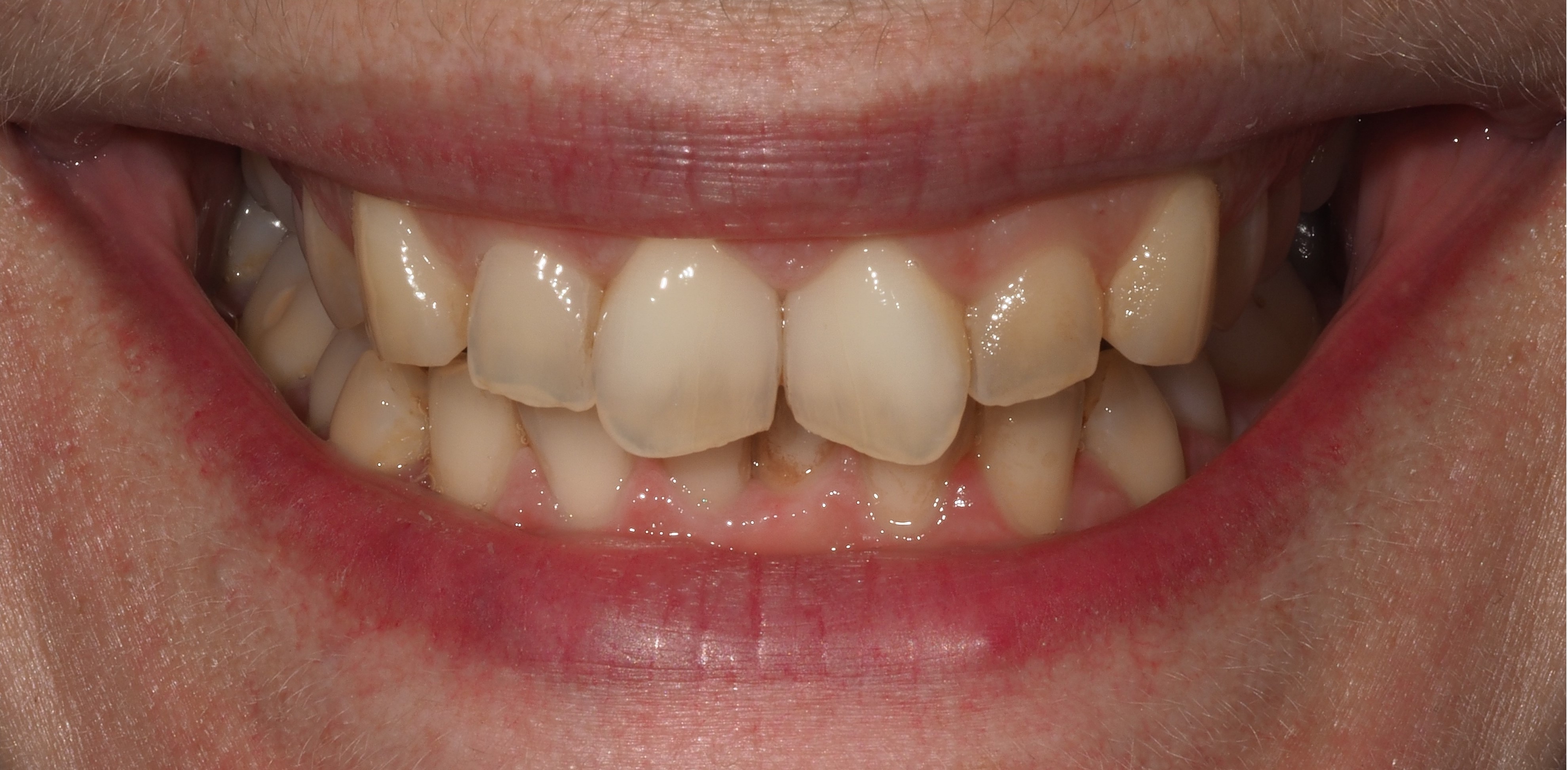
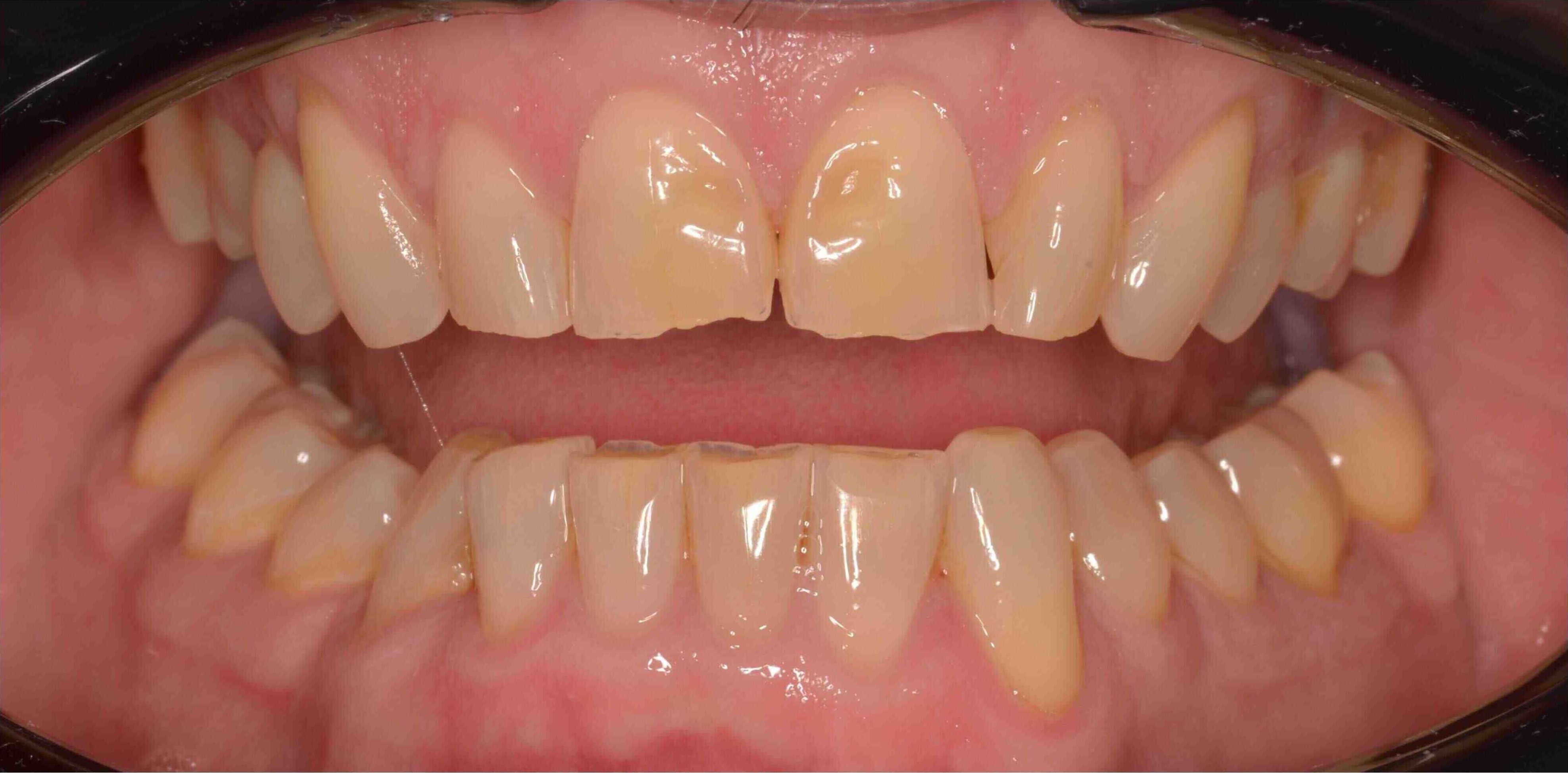
Invisalign, Whitening & Composite Bonding

Invisalign and whitening transformation Invisalign and whitening transformation
Invisalign and whitening transformation Invisalign and whitening transformation
Invisalign and whitening transformation Invisalign and whitening transformation
Invisalign and whitening transformation Invisalign and whitening transformation
Invisalign and whitening transformation Invisalign and whitening transformation
Invisalign and whitening transformation Invisalign and whitening transformation

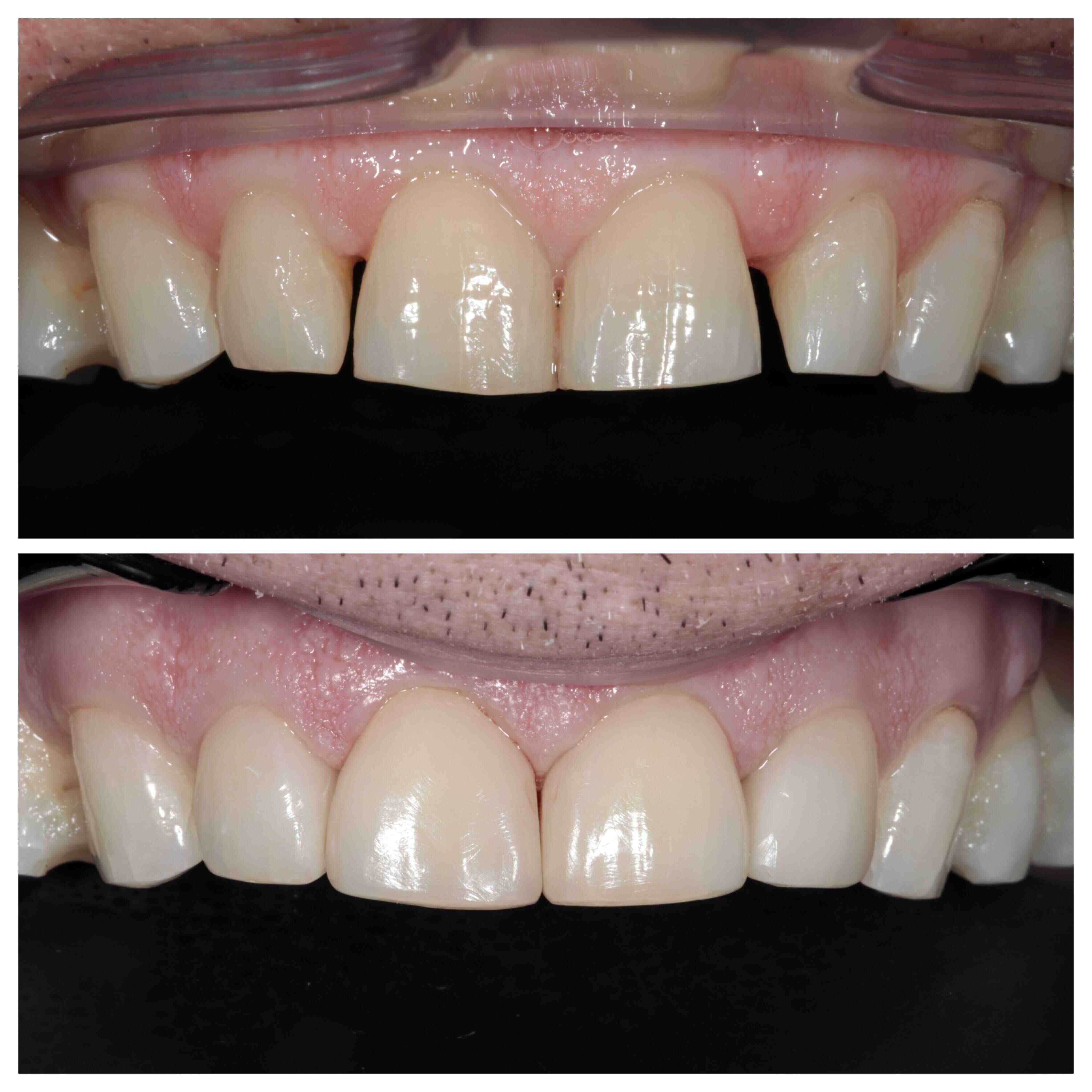
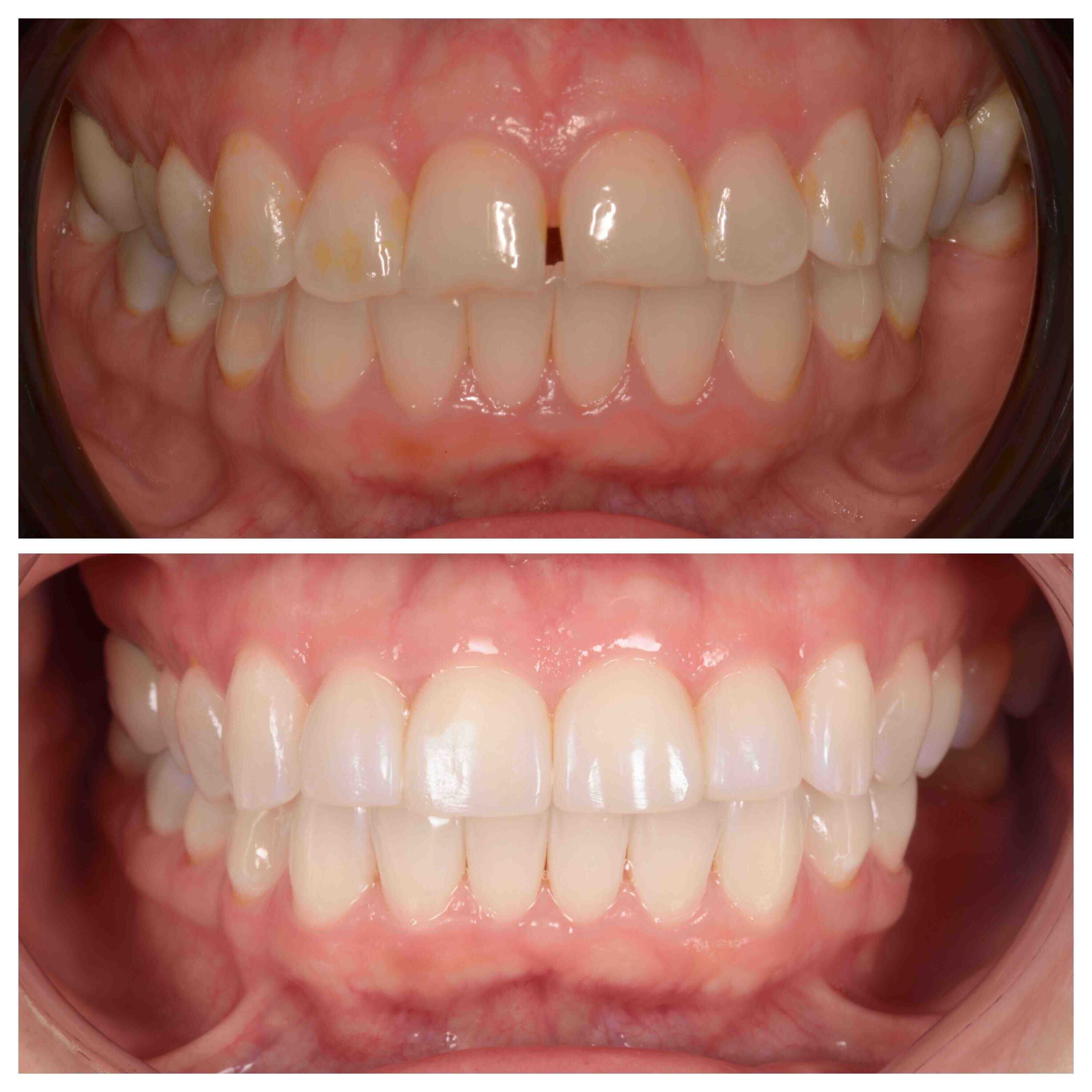
Gap Closure (Diastema)

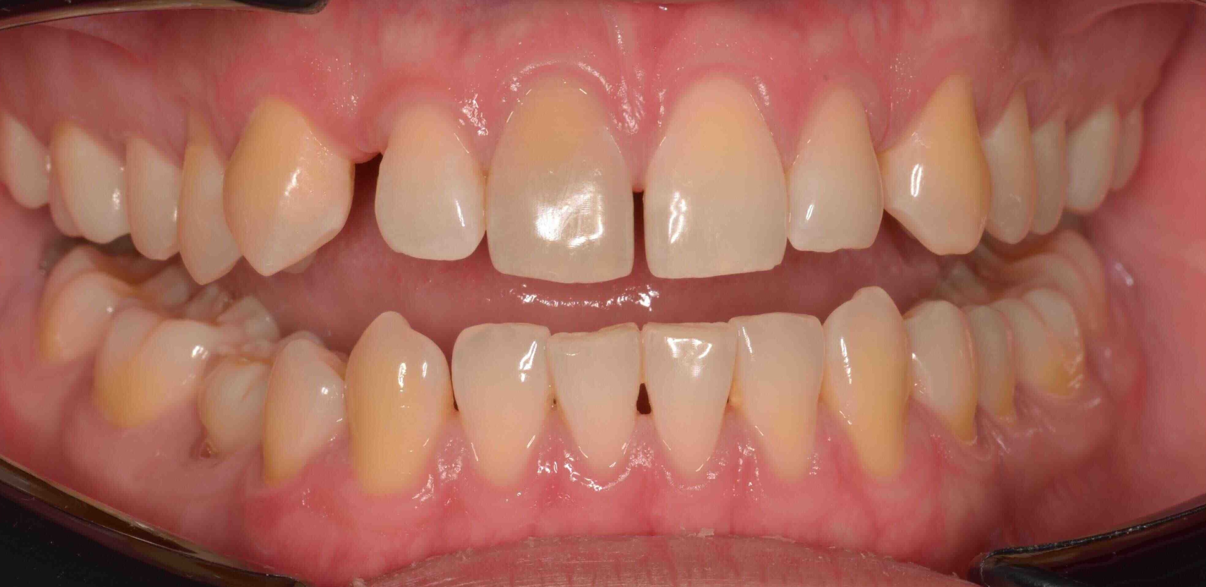
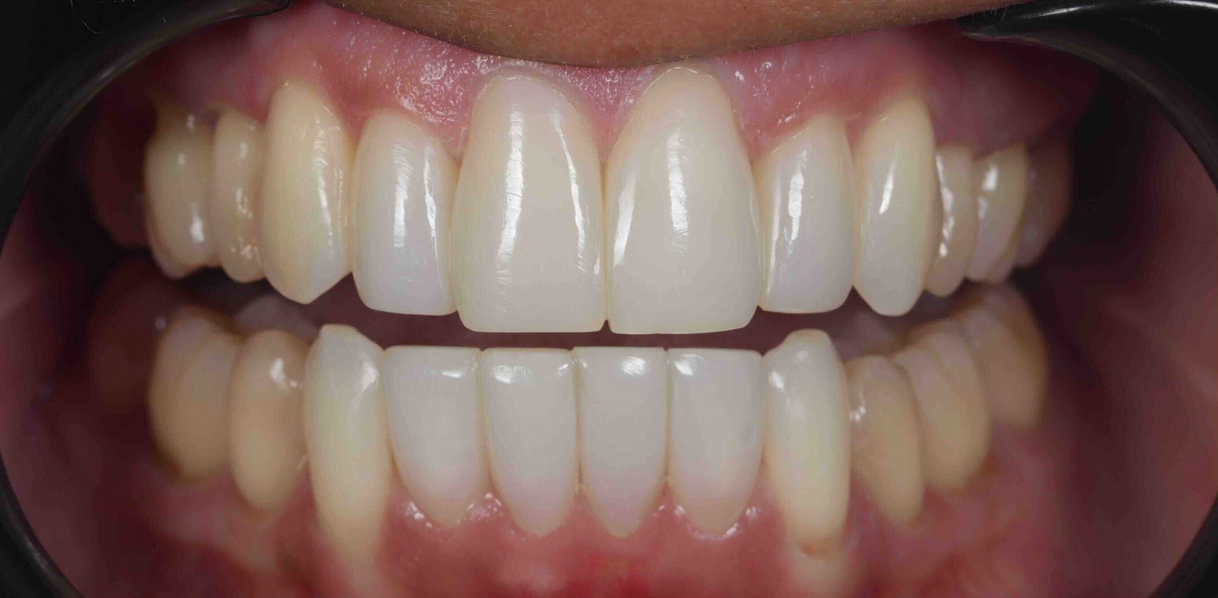
Missing & Abnormal Teeth Solutions